当院の矯正治療について
治療前カウンセリング
「患者さまに納得して治療を受けていただきたい」という思いから、久喜の関根歯科医院では、治療の前のカウンセリングを重視しています。なるべく歯を抜かない矯正をおこないますが、必要であれば、抜歯をともなう治療をご提案することもあります。その際も、治療と予後についてしっかりご説明し、無理強いすることはありませんので、ご安心ください。
※治療が必要か否かの判断を迷われている方には、無料の「矯正相談」もおこなっています。
最先端の設備を導入
久喜の関根歯科医院では、日々、目覚ましい進化を遂げている歯科治療技術を、積極的に習得するようにしています。また、顎顔面領域専用の歯科用CT「CT-3DX」をはじめとする、先端治療設備を整え、常に最新・最善の「安心できる治療」を、地域の皆さまにご提供しています。
選べる矯正治療
矯正治療は、新しいものが次々と登場しており、治療時の見た目が気になる方にもうれしい「目立ちにくい装置」も選べるようになりました。当院では、目立ちにくいブラケットを用いた一般的な矯正治療はもちろんのこと、透明なマウスピースを用いる目立たない矯正治療「インビザライン」や、インプラントを固定源にする「ミニスクリュー(インプラント)矯正」もおこなっています。
衛生面への十分な配慮
院内には、ウイルスなどを低減する「エアクリーン」、治療中に口腔外へ漏れることがある浮遊粉塵を吸い込む「口腔外バキューム」などを設置し、診療室をクリーンに保っています。また、使用したすべての歯科器具は、高圧蒸気滅菌器(オートクレーブ)を用いて滅菌処理をして、次に使用するまで滅菌棚に保管しております。どうぞご安心ください。
ブラケット矯正の流れ
もっともポピュラーな一般矯正は、金属の装置(メタルブラケット)を歯の表面に装着してワイヤーをとおす「ブラケット矯正」があります。近年では、セラミック製やプラスチック製など、目立ちにくいブラケットも選べるようになりました。ブラケット矯正の場合は、1年~2年半程度の治療期間を要します。
矯正相談
久喜の関根歯科医院は無料の矯正相談で、治療前のカウンセリングをしっかりおこないます。
診断・検査結果の説明
治療をする場合は、どのような治療が適切か、相談しながらご説明いたします。また、歯科用CTなどで撮影し、模型を作ります。
治療計画の説明
治療の内容、費用、期間などをご説明します。
治療スタート
ブラケットを装着して治療に入ります。治療期間は、ブラケット矯正の場合で約2年~2年半です。通院は1ヶ月に1回です。
保定期間
後戻りを抑える期間は、約1年半です。保定期間中は、2ヶ月に1回の通院です。
アフターフォロー
もし10年後に後戻りをしてしまったという場合でも、月額5,400円のメンテナンス料だけで、治療費はいただかないで治療をおこないます。
矯正治療の費用について
矯正治療は、保険が適用されない「自費診療」になります。価格面については、事前にしっかりご説明いたしますので、ご安心ください。
矯正治療にかかる費用は、次のとおりです。
(※表示は税抜き価格です)
ブラケット矯正の料金
| ご相談 | 無料 |
|---|---|
| 診断料 | 50,000円 |
| セット料 | 650,000円 |
| 月々の治療費 | 5,000円 |
ミニスクリュー矯正
ブラケット矯正治療は、上記の通りです。
| (インプラント)1本につき | 25,000円 |
|---|
マウスピースの矯正の料金
| ご相談 | 無料 |
|---|---|
| マウスピース制作料 | 900,000円 |
| 月々の治療費 | 5,000円 |
小児矯正
| ご相談 | 無料 |
|---|---|
| 第1期(成長期) | 300,000円 |
| 第2期(仕上げ期) | 350,000円 |
| 月々の治療費 | 5,000円 |
症例
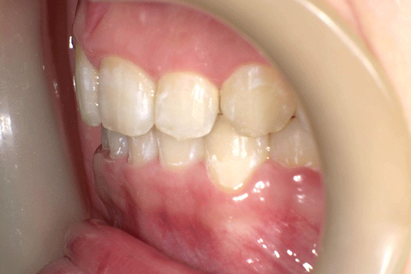
治療前
治療後
主訴:上顎前歯部前突 診断:アングルⅡ級Ⅰ類 年齢:22歳
用いた装置:エッジワイズブラケット 抜歯部位:14、24
治療期間:1年6ヶ月 治療費:約82万円 リスク:特になし
医療費控除について
矯正治療は自費診療になりますが、美容目的をのぞき、医療費控除の申請が可能です。
医療費控除制度とは
1月1日~12月31日の1年間、本人または家族が支払った医療費が10万円を超えた場合に、確定申告をすることで税金の還付が受けられる制度。
医療費控除の計算式
[その年に支払った医療費]-[保険金などで補てんされる金額]=A
A-[10万円または所得税金額の5%、どちらか少ない金額]
||
医療費控除額(最高200万円)
※最終的な還付金額は、10万円を超えた医療費に、自分の所得税率を掛けた金額となります。
歯科治療での適応
歯科治療においては、以下が当てはまります。
手続きについて
毎年2月16日~3月15日の確定申告期間に、所轄の税務署に以下の物を持参して、申請をおこないます。申請には、医療費の領収書が必要になりますので、きちんと保管しておきましょう。
申請期限
医療費控除の申請は、過去5年以内であれば、さかのぼって申請することが可能です。
※くわしくは、所轄の税務署にご確認ください。
治療前
治療後
主訴:上顎前歯部叢生 診断:アングルⅠ級 年齢:18歳
用いた装置:側方拡大装置、エッジワイズブラケット
抜歯部位:非抜歯 治療期間:1年3ヶ月
治療費:約79万円 リスク:特になし
治療前
治療後
主訴:上顎前歯部前突 診断:アングルⅡ級Ⅰ類 年齢:24歳
用いた装置:カリエールディスタライザー、エッジワイズブラケット
抜歯部位:14、24 治療期間:1年6ヶ月
治療費:約82万円 リスク:特になし





